Buongiorno a tutti. Inizio questa tornata informandovi che sarò assente fino a mercoledi 16 settembre e che il blog non verrà conseguentemente aggiornato. Senza creare falsi aloni di mistero, vi comunico felicemente che attraverserò l'Italia in bicicletta, da Brescia a Trapani... se qualcuno volesse conoscere gli spostamenti in tempo reale, farsi trovare sul percorso con dei secchi di acqua od offrirmi un Gatorade freddo, agitato, non mescolato, può seguirmi sulla pagina facebook col mio nome!!
Uotisiordiagnosis. La risposta corretta è "emosiderina" Si riconosce per l'aspetto brunastro e non nero come invece è il pigmento antracotico; in questo caso la sua presenza individua un evento emorragico a carico delle vie aeree, che nel cavallo potrebbe esprimere una forma di EIPH (exercise induced pulmonary hemorragia).
Uotisiordiagnosis. La risposta corretta è "emosiderina" Si riconosce per l'aspetto brunastro e non nero come invece è il pigmento antracotico; in questo caso la sua presenza individua un evento emorragico a carico delle vie aeree, che nel cavallo potrebbe esprimere una forma di EIPH (exercise induced pulmonary hemorragia).
Caso 1; cane, razza Meticcio, sesso F, età 11 anni; noduli
epatici multipli, alterazioni ecografiche del pancreas, versamento peritoneale:
PS: 1027. TP: 4.1 g/dl; TCC: 22.250/mcL.
Il fondo risulta diffusamente ingombrato da materiale
proteinaceo denso in zolle compatte e di materiale irregolarmente e grossolanamente
granulare, di aspetto verdastro, denso, cui si associa la presenza di sporadici
elementi infiammatori di tipo granulocitario neutrofilico, con aspetto
segmentato e di tipo macrofagico.
Il quadro, indicativo di un essudato con flogosi mista, è
suggestivo di coleperitoneo; baso la diagnosi sul colore e la consistenza del
materiale verde granulare. Considererei soprattutto esiti infiammatori della
rottura delle grandi vie biliari o della colecisti; tra l’altro la presenza di
materiale in zolle basofile e in granuli verdi potrebbe esprimere la doppia
natura del contenuto della cistifellea, composto da bile e da materiale
secretorio. Tra le ipotesi ci potrebbe stare la rottura di una cistifellea
affetta da un’iperplasia mucinosa cistica. Invece non rilevo attinenze con la
descrizione dei noduli epatici e delle alterazioni pancreatiche, per cui
avrebbero senso degli approfondimenti ulteriori allo scopo di rilevare
possibili cause primarie, tipo una neoplasia, oppure per escluderne la
correlazione, come in caso i noduli fossero espressione di un’iperplasia
nodulare benigna.
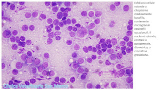
Caso 2: cane, razza Boxer, sesso M, età 10 anni. Precedente
escissione chirurgica di mastocitoma dall’area tarsale destra; campionamento
stadiativo del linfonodo popliteo.
I campioni si caratterizzano per l'esfoliazione, su fondo
ematico, di elementi linfoidi polimorfi, dominati da linfociti maturi od in
maturazione, blasti e plasmacellule, cui si associano numerosissimi elementi
macrofagici in attività frequente e diffusa di eritrosiderofagocitosi. I
campioni si caratterizzano inoltre per la presenza di elementi mastocitari a
citoplasma variabilmente granulare, contenenti nucleo rotondeggiante a
cromatina irregolare, dispersi singolarmente, rilevabili in ragione di circa 1
cellula ogni 3-4 campi/HPF.
Il quadro individua i caratteri relativi ad un'iperplasia
reattiva linfonodale con attività di drenaggio di un'area emorragica. Il numero
di mastociti rilevato è indicativo di un'estensione metastatica linfonodale
della neoplasia primaria descritta in anamnesi; non esistono criteri concreti
per stabilire quando un linfonodo sia interessato da metastasi linfonodale di
mastocitoma e anzi, in casi borderline, l’interpretazione rimane sempre molto
soggettiva. A mio giudizio la presenza di un numero troppo elevato di
mastociti, quando i canoni standard considerano la loro presenza sporadica nel
linfonodo, l’associazione con gli eosinofili e soprattutto la presenza
accertata del mastocitoma primario, sono da accorpare in una diagnosi di
metastasi linfonodale. Qual è il vostro approccio invece al problema?
















