Caso 1: cane,
razza Bovaro del Bernese, sesso MC, età 8 anni; campionamento del fegato; dati
clinici e anamnestici non segnalati.
Il campione è
dominato da aggregati voluminosi di cellule a citoplasma indistinto, debolmente
basofilo, contenente nucleo rotondo lievemente dismetrico, a cromatina
compatta; nel contesto aggregativo manifestano frequentissima disposizione
microacinare; i lembi circostanti sporadici di epatociti sono interessati da
danno aspecifico reversibile modesto, aggregati in lembi coesi bidimensionali,
attraversati da stampi di materiale biliare.Come sempre la carenza di informazioni cliniche e anamnestiche apre scenari variopinti su cui
lasciar decollare le idee: dando per scontata la presenza di una neoplasia epiteliale, direi che su base morfologica, ipotizzerei la presenza di un carcinoide epatico, neoplasia a derivazione neuroendocrina, presumibilmente dalle cellule ovali, elementi progenitori epatici; in alternativa ipotizzerei un’altra neoplasia a carattere neuroendocrino, primaria o metastatica, oppure la metastasi di un carcinoma dei sacchi anali, mentre riterrei poco probabile la possibilità di un colangiocarcinoma o della metastasi di un adenocarcinoma, soprattutto sulla base della scarsità delle atipie.
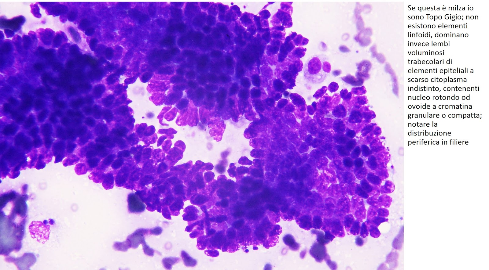
Caso 2: gatto,
razza DSH, sesso MC, età 7 anni; campionamento di neoformazione splenica.
I caratteri
morfologici mi fanno dubitare tantissimo dell’effettiva provenienza splenica del
campione, in quanto sono virtualmente assenti elementi linfoidi e dominano
cellule epiteliali a scarso citoplasma indistinto e nucleo ovoide a cromatina
compatta; negli aggregati si rilevano disposizioni in palizzate e, qualora
fosse confermata l’origine splenica della massa, ipotizzerei la metastasi di
una neoplasia primaria, tra cui soprattutto un carcinoma intestinale.
Caso 3; cane,
razza Meticcio, sesso FS, età 11 anni; stadiazione di mastocitoma, campione
splenico.
Caso facilissimo,
dove la morfologia cellulare splenica, rappresentata da rari linfociti
polimorfi e da plasmacellule, si inchina allo strapotere numerico di elementi
mastocitari a citoplasma scarsamente granulare, singoli o in gruppi numerosi,
espressione pressochè patognomonica di un’estensione metastatica del
mastocitoma descritto in anamnesi.










