Uotisiordiagnosis. Multiformi gli esiti di questo sondaggio; alcuni pensano ad anestro, altri a proestro, la maggior parte a diestro. Personalmente sarei propenso a pensare ad un anestro o ad un proestro iniziale, per il fatto che non si rilevano leucociti, talora presenti in fase diestrale.
=========================================
=========================================
Caso 1: cane, razza Pastore tedesco, sesso F, età 7 anni.
Ovaio megalico e noduli mammari. Evidenza di noduli polmonari multipli.
Eseguita FNCS dei noduli.
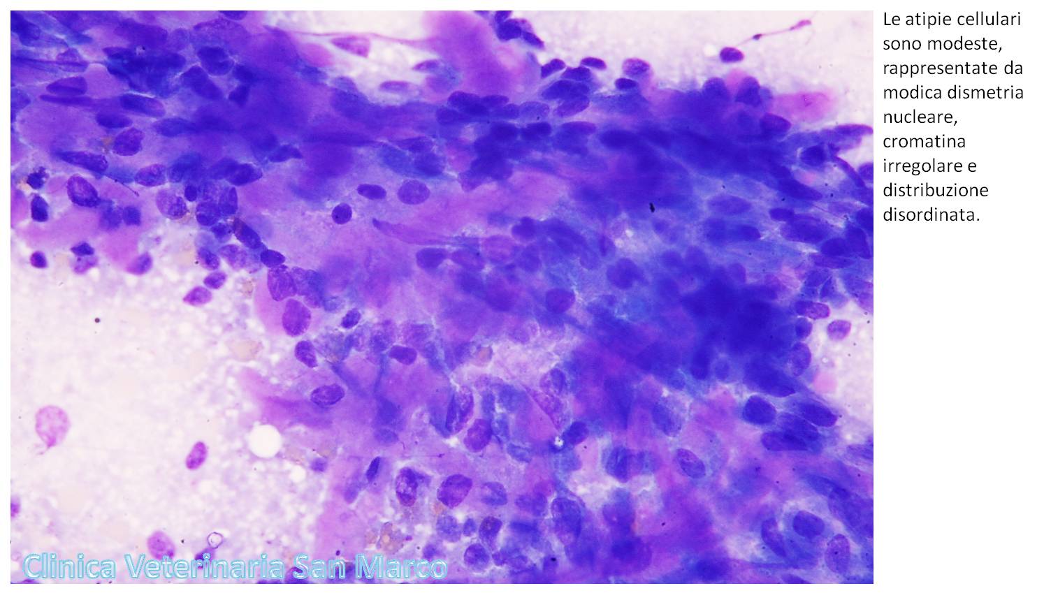
Esfolia un fondo ematico e detritico granulare, che in
alcuni campioni assume aspetto necrotico; alcuni allestimenti si caratterizzano
per l’esfoliazione di elementi epiteliali a scarso citoplasma cuboidale
indistinto, basofilo, contenente nucleo rotondo, modicamente dismetrico, a
cromatina irregolare, organizzati in lembi discoesi, nel cui contesto manifestano
frequente disposizione in figure acinari oppure si organizzano circondando la
deposizione di materiale denso eosinofilo in zolle od in strutture filamentose.
Il quadro citologico esprime una neoplasia epiteliale
maligna con aspetti secretori. Considererei la possibilità relativa ad un
adenocarcinoma polmonare, oppure l'estensione metastatica di altre neoplasie
epiteliali ghiandolari metastatiche, tra le quali ipotizzerei soprattutto una
primitività mammaria; consigliata stadiazione clinica accurata, a cui assocerei
un esame citologico dei noduli mammari allo scopo di stabilire un parallelo
eventuale con i rilievi osservati nel polmone.
Caso 2: gatto, razza Certosino, sesso M, età 9 anni. Placca
sottocutanea nella regione sternale presente da 6 mesi di consistenza dura, non
dolente con cute sovrastante integra. Eseguita FNCS.
Esfoliano, su fondo ematico, elementi fusocellulari,
caudati, talora stellati, a citoplasma debolmente basofilo e nucleo ovoide
modicamente dismetrico, a cromatina irregolare, talora nucleolato, dispersi
singolarmente od organizzati in gruppi discoesi bidimensionali, circondati da
abbondante componente infiammatoria rappresentata da granulociti neutrofili
segmentati e da macrofagi in attività di detrito globulare eosinofilo.
Il quadro individua i caratteri relativi ad una flogosi
suppurativa e macrofagica aspecifica con fenomeni di fibroplasia reattiva. I
rilievi individuano un danno tissutale di tipo infiammatorio con caratteri
reattivi del connettivo, che potrebbe conseguire a processi traumatici cronici
o ad infezioni profonde; virtualmente il quadro potrebbe porsi in diagnosi
differenziale con un processo neoplastico mesenchimale, per la cui esclusione
si rende necessaria, previa terapia sintomatica, l'indagine istopatologica.






Nessun commento:
Posta un commento