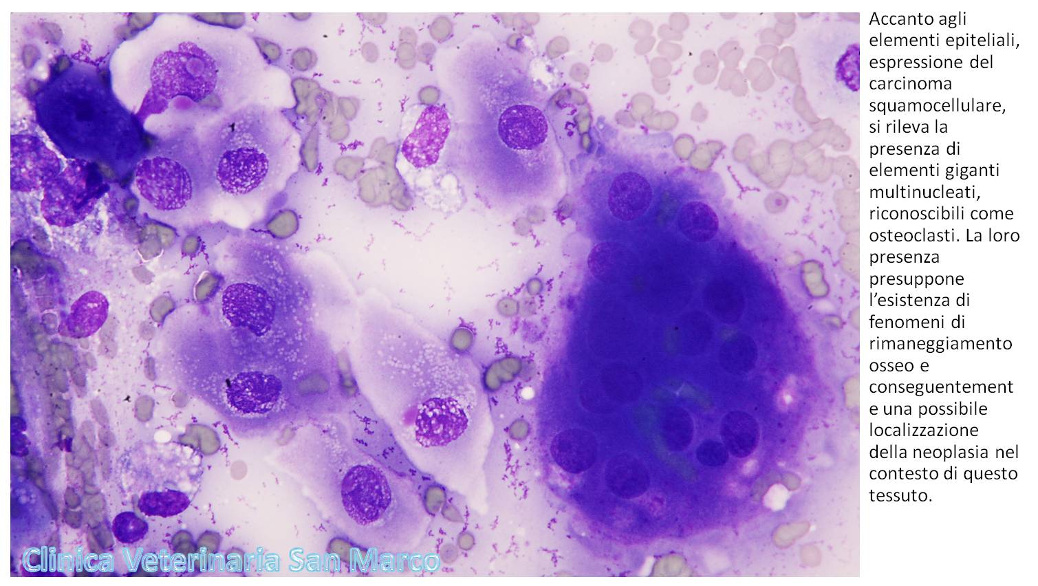
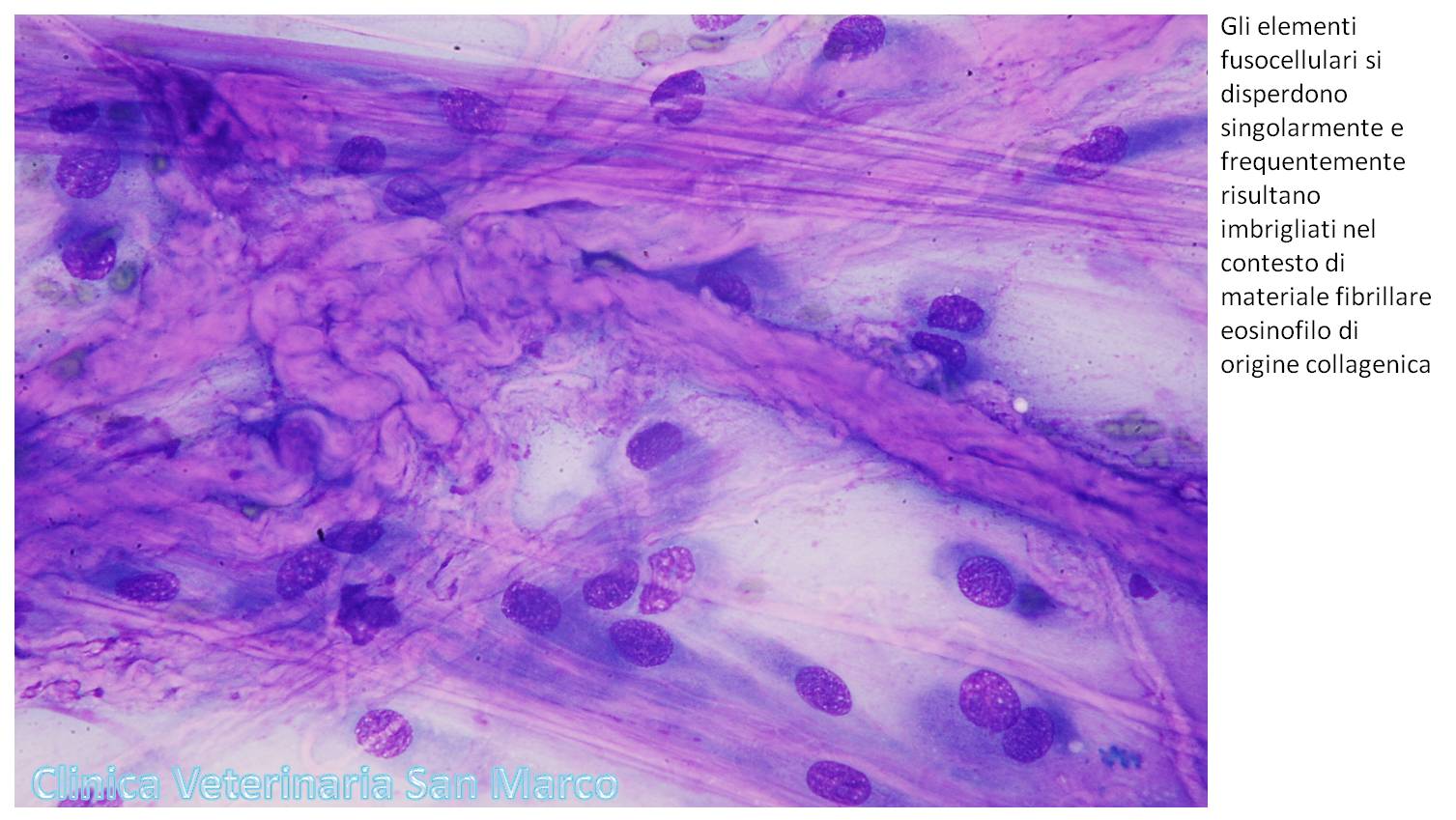
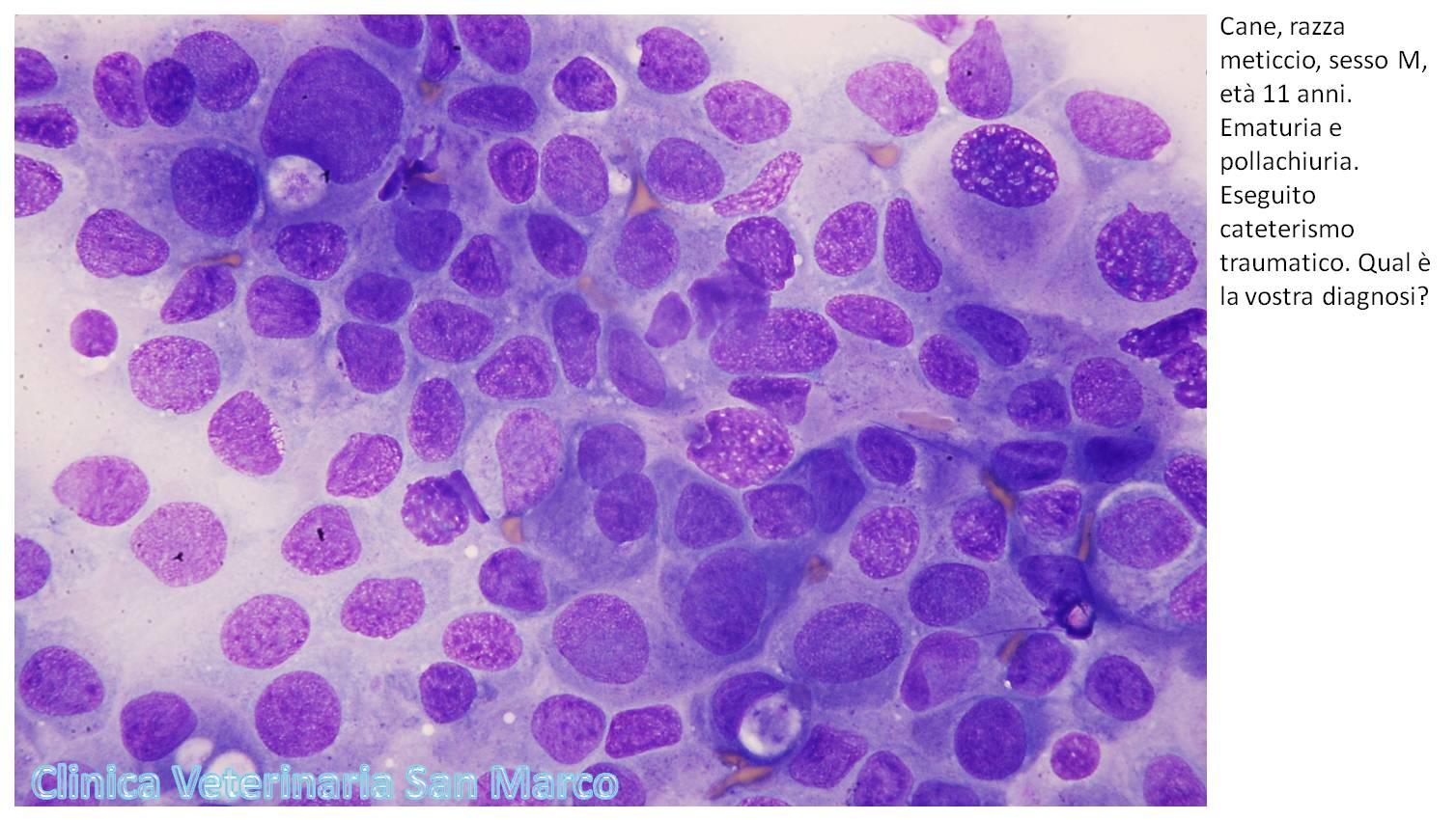
Amici citonauti
si conclude con oggi questa meravigliosa esperienza del CRAMPO, che mi ha regalato per anni il contatto virtuale con voi, colleghi, amici e simpatizzanti, obbligandomi nel tentativo di darvi sempre il meglio delle quattro idee che ho in testa relative a questa disciplina, quest'arte che è la citologia: non so se ci sono riuscito, ma sono contento di averci provato, sono contento per tutte le volte che vi ho sentito numerosi, crucciati attorno alle fotografie, mi sono formato con le vostre domande, sono cresciuto con le vostre obiezioni.
Il mio percorso professionale presso la Clinica San Marco si conclude e con esso il CRAMPO, così come è stato condotto fino ad oggi: ringrazio coloro che me lo hanno permesso e che hanno permesso a voi di partecipare; è l'addio di questa esperienza ma contemporaneamente un arrivederci al momento in cui riuscirò a trapiantare in altri ambiti la stessa formula, a quando riuscirò a rintracciarvi ed a raccogliervi ancora intorno ad una fotografia di cellule, a quando cercheremo ancora lo stupore di fronte ad un citoplasma pieno di oggetti sconosciuti, ad un nucleo bislacco, ad architetture improbabili, a quando ci spremeremo ancora il cervello alla ricerca dei messaggi silenziosi ed espliciti che le cellule ci mandano.
Vi ringrazio, uno ad uno, per come avete creduto con me che la condivisione è l'aspetto più costruttivo, elegante e piacevole del sapere.
La mia mail è sempre carlo.masserdotti@gmail.com, se vorrete contattarmi per qualunque richiesta.
Vi abbraccio fortissimo!
Carlo
si conclude con oggi questa meravigliosa esperienza del CRAMPO, che mi ha regalato per anni il contatto virtuale con voi, colleghi, amici e simpatizzanti, obbligandomi nel tentativo di darvi sempre il meglio delle quattro idee che ho in testa relative a questa disciplina, quest'arte che è la citologia: non so se ci sono riuscito, ma sono contento di averci provato, sono contento per tutte le volte che vi ho sentito numerosi, crucciati attorno alle fotografie, mi sono formato con le vostre domande, sono cresciuto con le vostre obiezioni.
Il mio percorso professionale presso la Clinica San Marco si conclude e con esso il CRAMPO, così come è stato condotto fino ad oggi: ringrazio coloro che me lo hanno permesso e che hanno permesso a voi di partecipare; è l'addio di questa esperienza ma contemporaneamente un arrivederci al momento in cui riuscirò a trapiantare in altri ambiti la stessa formula, a quando riuscirò a rintracciarvi ed a raccogliervi ancora intorno ad una fotografia di cellule, a quando cercheremo ancora lo stupore di fronte ad un citoplasma pieno di oggetti sconosciuti, ad un nucleo bislacco, ad architetture improbabili, a quando ci spremeremo ancora il cervello alla ricerca dei messaggi silenziosi ed espliciti che le cellule ci mandano.
Vi ringrazio, uno ad uno, per come avete creduto con me che la condivisione è l'aspetto più costruttivo, elegante e piacevole del sapere.
La mia mail è sempre carlo.masserdotti@gmail.com, se vorrete contattarmi per qualunque richiesta.
Vi abbraccio fortissimo!
Carlo
























































